Imagine a future where a routine mammogram not only identifies abnormalities but also predicts breast cancer years before it develops. That future is closer than you might think. Artificial intelligence (AI) is revolutionizing the early detection of breast cancer, one of the most common cancers affecting women worldwide. With 1 in 8 women likely to develop invasive breast cancer during their lifetime, early detection remains the key to improving survival rates and reducing treatment costs.
Enter AsymMirai, a groundbreaking AI model designed to predict breast cancer risk up to 5 years in advance. Unlike its predecessors, which function as opaque “black-box” systems, AsymMirai offers a transparent and interpretable approach. It focuses on subtle differences between left and right breast tissue to assess risk, providing a level of accuracy and clarity that could transform breast cancer screening practices.
The Problem: Challenges in Breast Cancer Detection
For decades, breast cancer screening has relied heavily on mammograms and genetic testing. While these methods have saved countless lives, they come with significant limitations. Mammograms, for instance, miss approximately 20% of breast cancers, often failing to detect early-stage or aggressive tumors. Meanwhile, genetic testing—though helpful for identifying inherited risks—cannot account for all cases, as demonstrated by high-profile instances like actress Olivia Munn’s diagnosis despite a negative genetic test and normal mammogram.
Previous attempts to integrate AI into breast cancer screening have also faced obstacles. Many models operate as “black boxes,” producing results without explaining the reasoning behind them. This lack of transparency has made clinicians hesitant to fully trust AI-based predictions. Inaccurate predictions or overreliance on AI tools have also raised concerns about unnecessary interventions or missed diagnoses, further highlighting the need for interpretable solutions.
AsymMirai addresses these challenges by offering a new level of transparency and accuracy, reshaping how breast cancer risk is assessed and managed.
Enter AsymMirai: A Game-Changing AI Model
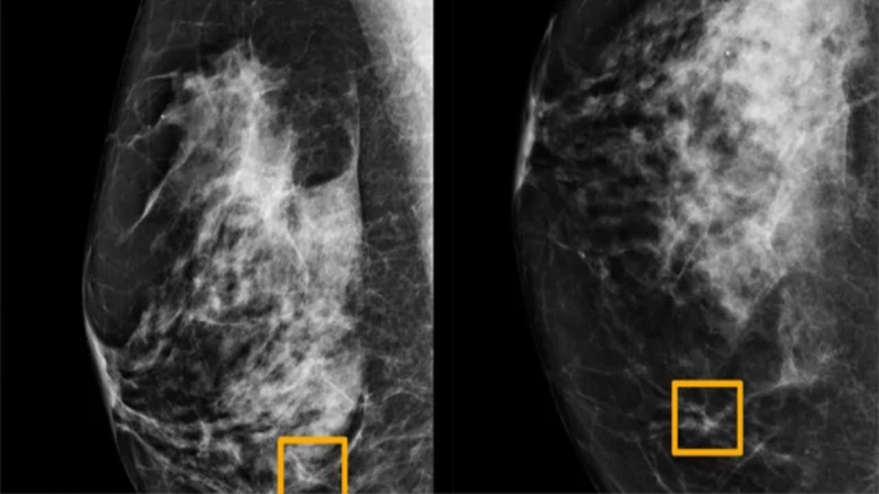
Artificial Intelligence has long held promise in revolutionizing healthcare, but AsymMirai is setting a new benchmark for innovation. Unlike traditional “black-box” AI systems, AsymMirai employs a transparent methodology that focuses on localized bilateral dissimilarity—subtle differences in breast tissue between the left and right breasts. This novel approach makes the decision-making process not only highly accurate but also interpretable for clinicians.
Here’s how it works: AsymMirai analyzes mammogram images using a convolutional neural network (CNN) to extract key features. It then calculates risk scores based on the differences detected between the two breasts. These risk scores, ranging from 0 to 1, indicate the likelihood of developing breast cancer within 1 to 5 years. The simplicity of this method allows radiologists to understand and trust the model’s reasoning, bridging the gap between technology and clinical practice.
What makes AsymMirai particularly impactful is its ability to provide early warnings without overwhelming complexity. By leveraging existing mammogram data, it offers an accessible and scalable solution for healthcare providers, paving the way for more personalized and effective screening strategies.

How Accurate Is AsymMirai?
When it comes to early detection, accuracy is paramount, and AsymMirai delivers impressive results. During its evaluation, the AI model demonstrated its ability to predict breast cancer risk with 66% accuracy when analyzing a single year of data. When consistent patterns of bilateral dissimilarity were detected across multiple years, the accuracy soared to 88%. This level of predictive power positions AsymMirai as a groundbreaking tool in breast cancer detection.
The development team utilized the EMBED dataset, a robust collection of mammograms from over 116,000 patients, to train and validate the model. The dataset included diverse racial backgrounds, ensuring that AsymMirai could perform effectively across different demographics. Notably, the AI performed comparably to its predecessor, Mirai, with a correlation coefficient greater than 0.68, proving that simplicity does not compromise effectiveness.
Unlike conventional risk calculators, which rely on family history or genetic data, AsymMirai uses advanced imaging techniques to identify subtle tissue changes invisible to the human eye. By doing so, it bridges the gap between clinical intuition and data-driven insights, ensuring more precise predictions and personalized care.
The Benefits of Early Detection Through Artificial Intelligence
The early detection of breast cancer using artificial intelligence offers transformative advantages for patients and healthcare systems alike. By identifying cancerous changes long before they progress into severe stages, AI enhances survival rates, broadens treatment options, and redefines preventive strategies. Below are some of the key benefits:
- Improved Survival Rates: Early detection is critical in improving survival rates. Breast cancer diagnosed at an early stage typically has a much better prognosis than when caught later. Smaller, localized tumors are easier to treat and less likely to spread, significantly boosting a patient’s chances of recovery.
- Less Aggressive Treatments: When caught early, breast cancer often requires less invasive and aggressive treatments. Patients might undergo a lumpectomy instead of a mastectomy or avoid extensive chemotherapy and radiation therapy altogether. These less intense interventions reduce side effects, hasten recovery, and improve the overall quality of life.
- Cost-Effectiveness: Treating early-stage cancer is generally more cost-effective than addressing advanced cancer. Early interventions lower the need for prolonged treatments, multiple surgeries, and extended hospital stays, reducing the financial burden on both patients and the healthcare system.
- Psychological Benefits: The psychological relief of an early diagnosis cannot be overstated. Knowing that cancer is detected early with a favorable prognosis reduces anxiety and mental stress. Furthermore, AI’s ability to monitor for early signs provides peace of mind to high-risk individuals, offering reassurance and confidence in their healthcare journey.
- Broadening Preventive Strategies: AI’s capacity to analyze large datasets opens doors for personalized preventive strategies. By identifying risk factors specific to certain demographics, AI helps implement targeted prevention measures, potentially lowering breast cancer incidence rates across diverse populations.
By leveraging these advantages, AI-based tools like AsymMirai are poised to revolutionize breast cancer care, bringing the vision of personalized, effective, and accessible healthcare closer to reality.
Barriers to Unlocking AI’s Full Potential in Breast Cancer Detection
Despite its promise, artificial intelligence in early breast cancer detection faces several challenges that must be overcome to ensure its success in clinical practice. A critical issue lies in the need for diverse, high-quality datasets to train AI systems effectively. Without representative data, algorithms risk biases that may lead to inconsistent performance across populations. Privacy concerns and proprietary restrictions further limit access to these datasets, hindering the development of more inclusive and accurate models.
Integrating AI tools into existing clinical workflows presents another hurdle. While these technologies offer powerful insights, adapting to them requires significant training and shifts in established practices. Over-reliance on AI could also risk eroding clinicians’ diagnostic expertise. Furthermore, false positives and negatives remain an inherent challenge, with false positives leading to unnecessary stress and interventions, while false negatives delay critical treatment and impact patient outcomes.
Ethical and regulatory concerns further complicate AI adoption. Protecting patient privacy and ensuring transparency in AI decision-making are crucial to building trust. However, many systems still operate as “black boxes,” limiting their interpretability. Additionally, the lack of consistent regulatory standards makes it difficult to validate and implement AI tools universally. Addressing these challenges will require collaboration between technology developers, healthcare professionals, and policymakers to unlock AI’s full potential in transforming breast cancer care.
The Road Ahead for AI and Breast Cancer Care
Artificial intelligence is changing the way we think about breast cancer detection, offering the kind of hope that could save lives and spare countless patients from the emotional and physical toll of late-stage diagnoses. AsymMirai stands out as a beacon of what’s possible—a tool that not only predicts breast cancer risk years in advance but does so in a way that’s easy for doctors and patients to trust.
Of course, no breakthrough comes without challenges. Whether it’s ensuring AI models work well for everyone, integrating them seamlessly into clinics, or figuring out how to regulate these tools, there’s still work to be done. But these hurdles aren’t insurmountable. They’re part of the process of building a healthcare system that’s smarter, more inclusive, and more compassionate.
The future of breast cancer detection looks brighter with tools like AsymMirai leading the way. With continued collaboration and innovation, we’re one step closer to a world where fewer people hear the words “you have cancer”—and more lives are saved before the disease ever has a chance to take hold.
Featured Image Source: @CBCNews on YouTube



